Skip to main content

Bonding zębów Łódź Złotno – licówki kompozytowe w Sonrisa

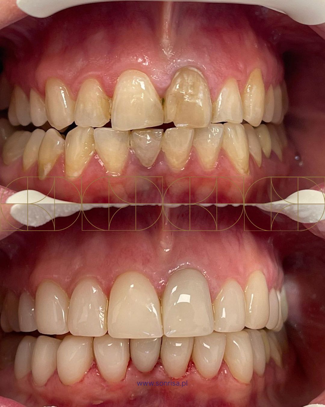
Bonding to zabieg stomatologii estetycznej, który pozwala szybko, bezboleśnie i w prosty, nieinwazyjny sposób poprawić wygląd zębów. Jest to także świetna alternatywa dla licówek kompozytowych, wyróżniająca się niższą ceną i tym samym większą dostępnością dla pacjentów. Jest to zabieg odwracalny, bezpieczny i nie wymagający ingerencji w zdrowe tkanki zęba. Dlatego też czasem bywa nazywany stomatologiczną procedurą kosmetyczną, ponieważ jest mało obciążający dla pacjenta, jest bezbolesny i najczęściej nie wymaga znieczulenia. Z tego powodu stanowi idealne rozwiązanie dla osób szukających szybkiej poprawy estetyki uśmiechu.

→ Bonding wykonasz w Sonrisa Stomatologia Łódź Złotno

Kiedy warto wykonać bonding zębów?

Bonding polecamy Pacjentom, którzy nie są zadowoleni z wyglądu swoich zębów i chcą w prosty i szybki sposób poprawić wygląd swoich zębów. Bonding polecamy jeśli chcesz:

  • zmianić kształt i długość zębów

  • zamknąć diastemę (przerwy między zębami)

  • ukryć przebarwienia, pęknięcia i ubytki mechaniczne

  • delikatnie wyrównać linię zębów w łuku (bez konieczności leczenia ortodontycznego)

Jeśli marzysz o estetycznym, symetrycznym i naturalnym uśmiechu – bonding może być idealnym rozwiązaniem.

Kiedy warto wykonać bonding zębów?

Bonding polecamy Pacjentom, którzy nie są zadowoleni z wyglądu swoich zębów i chcą w prosty i szybki sposób poprawić wygląd swoich zębów. Bonding polecamy jeśli chcesz:

  • zmianić kształt i długość zębów

  • zamknąć diastemę (przerwy między zębami)

  • ukryć przebarwienia, pęknięcia i ubytki mechaniczne

  • delikatnie wyrównać linię zębów w łuku (bez konieczności leczenia ortodontycznego)

Jeśli marzysz o estetycznym, symetrycznym i naturalnym uśmiechu – bonding może być idealnym rozwiązaniem.

Na czym polega bonding?

Bonding polega na nałożeniu na ząb specjalnego materiału kompozytowego dopasowanego kolorem do naturalnego szkliwa. Pozwala uzyskać efekt zbliżony do licówek, ale przy mniejszej ingerencji w tkanki zęba.

Przebieg zabiegu:

  1. Dobór odpowiedniego koloru kompozytu.

  2. Nałożenie materiału na powierzchnię zęba (całą lub częściową).

  3. Nadanie mu naturalnego kształtu anatomicznego.

  4. Utwardzenie i delikatne wypolerowanie.

Efekt? Zęby wyglądają jak naturalne szkliwo – świeżo, estetycznie i harmonijnie.

Bonding Łódź – dlaczego w Sonrisa?

W Sonrisa Stomatologia Łódź Złotno wykonujemy bonding z użyciem wysokiej jakości kompozytów zapewniając:

  • naturalny efekt estetyczny
  • precyzyjne wykonanie
  • komfortowy, bezbolesny przebieg
  • indywidualne podejście i konsultację przed zabiegiem

Zabieg wykonywany jest przez doświadczonych lekarzy stomatologii estetycznej. Zapraszamy na wizytę do Sonrisa Łódź, podczas której ocenimy możliwości estetyczne i zaproponujemy najlepsze rozwiązanie.

Efekty bondingu – jak długo się utrzymują?

Efekty bondingu potrafią być imponujące i diametralnie odmienić uśmiech Pacjenta! Pacjenci zyskują:

  • naturalny wygląd zębów
  • poprawę symetrii i estetyki
  • poprawę samopoczucia (większą pewność siebie)

Przy prawidłowej higienie i stosowaniu zaleceń stomatologa efekt bondingu utrzymuje się średnio 5 lat. Zabieg można w razie potrzeby odświeżyć lub całkowicie odwrócić.

Ile trwa bonding?

W większości przypadków bonding wykonujemy podczas jednej wizyty. Jej czas zależy od liczby korygowanych zębów. Dokładną długość określamy na konsultacji.

Bonding – cena

Koszt bondingu zależy od:

  • liczby zębów
  • wyjściowego stanu uzębienia 
  • oczekiwanego efektu

Cena jest ustalana indywidualnie podczas konsultacji. To często tańsza alternatywa dla licówek porcelanowych czy koron, zachowując świetny efekt wizualny.

Bonding Łódź Złotno – umów wizytę

Jeśli interesuje Cię bonding zębów w Łodzi, chcesz poprawić uśmiech szybko i bez bólu — Sonrisa Stomatologia na Złotnie będzie świetnym wyborem.

→ Sonrisa Stomatologia – Łódź Złotno
Profesjonalna opieka | Naturalny efekt | Komfort

Umów wizytę i zacznij swoją metamorfozę uśmiechu!